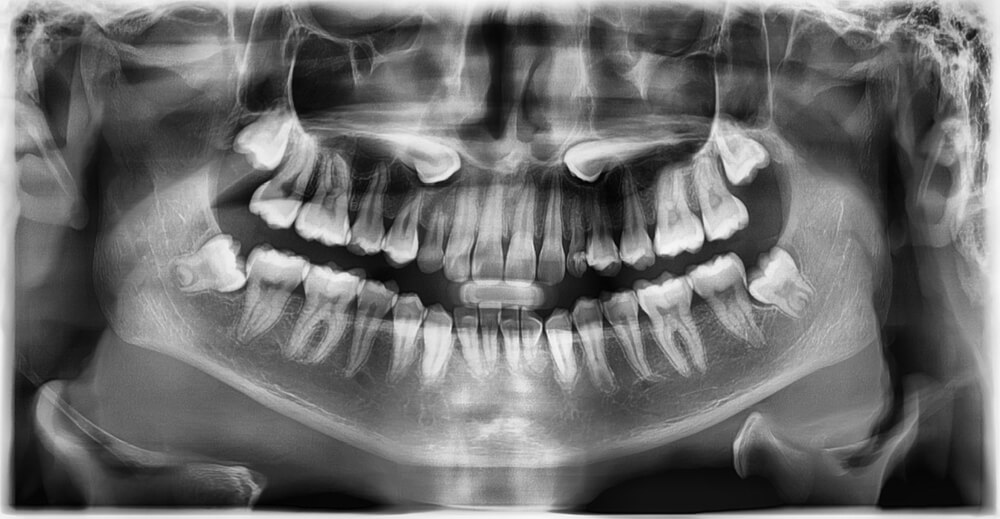
Gömülü diş, çene kemiğinde tam olarak çıkamayan veya doğru pozisyonda olmayan dişlerdir. Genellikle üçüncü azı dişleri, yani yirmi yaş dişleri bu durumu yaşar. Bu dişler, diğer dişlerin yerini kapatması veya çene yapısının darlığı nedeniyle ağız içerisinde yer bulamazlar. Gömülü dişler, diş etinin altında kalabilir ve bu durum ağrı, şişlik ve enfeksiyon gibi problemlere yol açabilir. Ayrıca, komşu dişlere baskı yaparak dişlerin hizalanmasını bozabilir ve diş eti hastalıklarına zemin hazırlayabilir.
Gömülü dişlerin tedavisi, dişin pozisyonuna ve hastanın semptomlarına bağlı olarak değişir. İlk olarak, diş hekiminiz detaylı bir muayene ve röntgen ile dişin konumunu belirler. Eğer gömülü diş herhangi bir ağrı veya enfeksiyona neden olmuyorsa, belirli bir süre boyunca takip edilebilir. Ancak, ağrı, enfeksiyon veya diğer dişlere zarar verme riski varsa, cerrahi müdahale gerekebilir. Bu işlem genellikle lokal anestezi altında yapılır ve diş eti kesilerek diş çıkarılır. Cerrahi işlem sonrası, iyileşme süreci dikkatli bir şekilde izlenmeli ve hekimin önerdiği bakım talimatlarına uyulmalıdır.
Gömülü dişlerin cerrahi olarak çıkarılmasının ardından, iyileşme sürecinde ağrı ve şişlik gibi belirtiler normaldir. Hekiminiz bu dönemde ağrı kesiciler ve antibiyotikler reçete edebilir. Ayrıca, ağız hijyenine dikkat etmek, yumuşak ve soğuk yiyecekler tüketmek iyileşme sürecini hızlandıracaktır. Gömülü diş tedavisinde erken müdahale, ileride oluşabilecek komplikasyonları önlemek adına büyük önem taşır. Bu nedenle, düzenli diş hekimi kontrollerini ihmal etmemek, olası sorunların erken teşhis ve tedavisinde kritik bir rol oynar.
Gömülü diş nedir?

Gömülü diş, çene kemiği içerisinde tam olarak çıkamayan veya normal pozisyonuna ulaşamayan dişlerdir. Genellikle yirmilik dişler olarak bilinen üçüncü azı dişlerinde bu durum sıkça görülür. Çıkmak için yeterli alan bulamayan bu dişler, çene yapısının darlığı veya diğer dişlerin yerini kapatması nedeniyle gömülü kalırlar. Gömülü dişler, genellikle diş etinin altında kalır ve bu durum ağrı, şişlik, enfeksiyon gibi çeşitli problemlere yol açabilir. Ayrıca, komşu dişlere baskı yaparak onların hizalanmasını bozabilir ve diş eti hastalıklarına neden olabilir.
Gömülü dişlerin tedavisi, dişin konumuna ve hastanın semptomlarına bağlı olarak değişir. Diş hekimi, detaylı bir muayene ve röntgen ile dişin pozisyonunu belirler. Eğer gömülü diş ağrı veya enfeksiyona neden olmuyorsa, düzenli kontrollerle takip edilebilir. Ancak ağrı, enfeksiyon veya diğer dişlere zarar verme riski taşıyorsa, cerrahi müdahale gerekebilir. Bu işlem genellikle lokal anestezi altında yapılır ve diş eti kesilerek diş çıkarılır. Cerrahi işlem sonrası iyileşme süreci dikkatle izlenmeli ve hekimin önerdiği bakım talimatlarına uyulmalıdır.
“Çene Ağrısı Nedenleri adlı yazımıza da göz atmak isteyebilirsiniz.”
Cerrahi müdahale sonrasında ağrı ve şişlik gibi belirtiler normaldir. Hekim, bu dönemde ağrı kesiciler ve antibiyotikler reçete edebilir. Ayrıca, ağız hijyenine dikkat etmek ve yumuşak, soğuk yiyecekler tüketmek iyileşme sürecini hızlandırır. Gömülü diş tedavisinde erken teşhis ve müdahale, ileride oluşabilecek komplikasyonları önlemek adına büyük önem taşır. Bu nedenle, düzenli diş hekimi kontrollerini ihmal etmemek, olası sorunların erken teşhis ve tedavisinde kritik bir rol oynar.
Gömülü diş belirtileri nelerdir?
- Diş etinde ağrı
- Şişlik ve hassasiyet
- Çene bölgesinde ağrı
- Ağız açmada zorluk
- Kötü nefes veya ağız kokusu
- Diş eti enfeksiyonu
- Kulak veya baş ağrısı
- Komşu dişlerde ağrı veya baskı hissi
Gömülü diş neden olur?

Gömülü diş, genellikle çene yapısının darlığı veya diğer dişlerin yerini kapatması sonucu oluşur. Çene kemiğinin büyüme sürecinde yeterli alan açılmaması, dişlerin normal pozisyonda çıkmasını engeller. Özellikle yirmilik dişler, yani üçüncü azı dişleri, genellikle bu problemle karşılaşır çünkü ağız içindeki en son dişlerdir ve çıkacak yer bulmakta zorlanırlar. Genetik faktörler de bu durumun oluşmasında önemli bir rol oynar; bazı ailelerde gömülü diş problemi daha sık görülür.
Gömülü dişler, sadece çene yapısı ve genetik faktörlerle sınırlı kalmaz, aynı zamanda dişlerin çıkma sürecindeki yönlendirme eksikliklerinden de kaynaklanabilir. Dişler çıkarken yanlış bir açıyla büyüyebilir ve bu da onların diğer dişlerin arkasında veya diş eti altında kalmasına neden olabilir. Bebeklik döneminde dişlerin çıkma sırasındaki problemler, gelecekte gömülü dişlerin oluşmasına zemin hazırlayabilir. Bu nedenle, erken yaşlarda düzenli diş kontrolleri yapmak, ileride oluşabilecek diş sorunlarının önlenmesi açısından önemlidir.
Bir diğer önemli neden ise travma veya yaralanmalardır. Çene bölgesine alınan darbeler, dişlerin doğru pozisyonda çıkmasını engelleyebilir ve bu durum gömülü diş oluşumuna neden olabilir. Ayrıca, diş teli tedavisi sırasında yapılan hatalar da dişlerin yanlış pozisyonda kalmasına yol açabilir. Sonuç olarak, gömülü dişlerin oluşumu birçok faktörün bir araya gelmesiyle gerçekleşir ve bu durum, kişinin genel ağız sağlığı üzerinde olumsuz etkilere neden olabilir. Bu nedenle, düzenli diş hekimi kontrolleri ve uygun ağız bakımı, bu tür problemleri en aza indirmek için gereklidir.
Gömülü diş çekimi sonrası nelere dikkat edilmelidir?
- Çekim bölgesine tampon uygulamak
- İlk 24 saat boyunca sıcak yiyecek ve içeceklerden kaçınmak
- Sigara ve alkol tüketiminden uzak durmak
- Ağız hijyenine özen göstermek, ancak çekim bölgesine dokunmamak
- Yumuşak ve soğuk yiyecekler tüketmek
- İlk birkaç gün ağır fiziksel aktivitelerden kaçınmak
- Hekim tarafından reçete edilen ilaçları düzenli kullanmak
- Şişlik ve ağrı durumunda soğuk kompres uygulamak
- Diş hekiminin önerdiği kontrol randevularına gitmek
Gömülü diş tedavisi nedir?

Gömülü diş tedavisi, dişin konumu, hastanın yaşadığı belirtiler ve dişin çevresindeki dokuların durumuna bağlı olarak değişir. İlk adım, detaylı bir muayene ve röntgen çekimi ile dişin pozisyonunun belirlenmesidir. Eğer gömülü diş herhangi bir ağrı veya enfeksiyona neden olmuyorsa, diş hekimi düzenli takipler ile durumu izleyebilir. Ancak ağrı, enfeksiyon veya komşu dişlere baskı gibi sorunlar mevcutsa, cerrahi müdahale gerekebilir.
Cerrahi müdahale genellikle lokal anestezi altında gerçekleştirilir ve diş eti kesilerek dişin çıkarılması işlemidir. Bu süreçte dişin çevresindeki kemik dokusu da çıkarılabilir. Ameliyat sonrası iyileşme süreci genellikle birkaç gün ile birkaç hafta arasında değişir ve bu dönemde hastanın ağız hijyenine dikkat etmesi, hekimin önerdiği ilaçları kullanması önemlidir. Ayrıca, cerrahi sonrası oluşabilecek ağrı ve şişlik gibi belirtileri hafifletmek için soğuk kompres uygulamaları önerilir.
“Diş Eti Şişmesi adlı yazımıza da göz atmak isteyebilirsiniz.”
Gömülü diş tedavisinin başarılı olabilmesi için erken teşhis ve müdahale büyük önem taşır. Erken dönemde yapılan müdahaleler, daha ciddi komplikasyonların önlenmesini sağlar. Bunun yanı sıra, düzenli diş hekimi kontrolleri, gömülü dişlerin erken tespit edilmesine yardımcı olur. Gömülü diş tedavisinde hastanın yaşı da önemli bir faktördür; genç hastalarda kemik dokusu daha esnek olduğu için cerrahi müdahale ve iyileşme süreci daha kolay olabilir. Bu nedenle, ağız ve diş sağlığının korunması için düzenli kontrollerin aksatılmaması, dişlerin sağlıklı bir şekilde çıkmasını sağlamak açısından kritik bir rol oynar.
Gömülü Diş Hakkında Sık Sorulan Sorular
Gömülü diş kendiliğinden çıkar mı?
Gömülü dişler genellikle kendiliğinden çıkmaz. Çene yapısında yeterli alan olmadığında veya dişin çıkış yönü yanlış olduğunda dişin kendiliğinden çıkması mümkün değildir.
Gömülü diş zararları nelerdir?
Gömülü dişler ağrı, enfeksiyon, çene kistleri, komşu dişlerde hasar ve diş eti hastalıklarına neden olabilir.
Üst damakta gömülü diş olur mu?
Evet, üst damakta da gömülü diş olabilir. Özellikle köpek dişleri üst damakta gömülü kalabilir.
Gömülü köpek dişlerinin tedavisi nasıldır?
Gömülü köpek dişlerinin tedavisi genellikle cerrahi müdahale ile dişin çıkarılması veya ortodontik tedavi ile dişin doğru pozisyona getirilmesini içerir.
Gömülü diş nasıl çekilir?
Gömülü diş çekimi, lokal anestezi altında diş etinin kesilerek dişin çıkarılması işlemidir. Bu süreçte dişin etrafındaki kemik dokusu da alınabilir.
Gömülü diş ameliyatı sonrası dikişler ne zaman geçer?
Dikişler genellikle 1-2 hafta içinde alınır veya kendiliğinden eriyen dikişlerse bu süre içinde kaybolur.
Gömülü diş çekilmezse ne olur?
Çekilmeyen gömülü dişler ağrı, enfeksiyon, çene kistleri ve komşu dişlerde hasar gibi ciddi sorunlara yol açabilir.
Gömülü diş ameliyatı ne kadar sürer? Yirmilik gömülü diş çekimi zor mu?
Gömülü diş ameliyatı genellikle 30-60 dakika sürer. Yirmilik diş çekimi, dişin konumuna ve zorluk derecesine bağlı olarak değişir, ancak genellikle diğer diş çekimlerinden daha zor olabilir.
Gömülü diş çekimi sonrası ağrı ne kadar sürer?
Gömülü diş çekimi sonrası ağrı genellikle birkaç gün ile bir hafta arasında sürer. Ağrı, doktorun verdiği ilaçlarla kontrol altına alınabilir.



